前歯部インプラントのこだわり
前歯部にインプラント治療を施す場合、特に重要視されることは審美性です。前歯は笑ったときに一番目立つ部分ですので、被せ物と周囲の歯の色調の調整、歯ぐきのラインに気を使う必要があります。
また、前歯でも噛み合わせすごく大切です、審美、機能面をしっかりと考えなければならないため高度な技術が必要です。
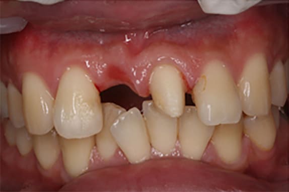
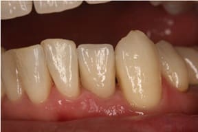
CASE01 前歯部インプラント ~審美的で長持ちする治療を~
-
- 抜歯原因
- 歯根破折
-
- 治療期間
- 7か月
-
- 被せ物
- オールセラミック冠
前歯では、一般的にブリッジ、もしくはインプラント治療となります。両者の寿命、審美性を比較した場合やはり自立式のインプラントに軍配があがります。
CASE02 前歯部インプラント ~歯を削るのはもったいない~
-
- 抜歯原因
- 歯周病
-
- 治療期間
- 4か月
-
- 被せ物
- メタルセラミック
ブリッジ治療のために隣同士の健康な歯を削るより、自立式のインプラントであれば周囲の歯に迷惑をかける事がありません。
CASE03 前歯部インプラント ~キレイな前歯を手に入れたい~
-
- 抜歯原因
- 歯周病
-
- 治療期間
- 4か月
-
- 被せ物
- メタルセラミック
前歯部1本のインプラントとメタルセラミックスのケースです。前歯部の1本欠損部位にインプラントを埋入し、インプラントの両サイドの残存歯をセラミックスにより審美的回復をしました。インプラントよる機能的回復とセラミックスによる審美的回復のコラボレーションのケースです。
当院のインプラント治療について詳しく
- アートデンタルクリニック鷺沼のインプラント治療についてさらに詳しくはこちらをご覧ください。






