根管治療
Root canal treatment
- HOME
- 根管治療
歯を抜かない残すための根管治療
根管治療(歯の根の治療)
『歯の寿命はこれで決まる』
と言っても過言でない位、歯科医療の中で最も
大切な治療の一つ
根管治療の種類
-
- 抜髄根管治療
(神経を抜く根管治療) - 歯の根の管を根管といい、通常、根管の中には神経や血管が存在します。虫歯が進行し、神経まで達する事により痛みが強くなると、残念ですが根管内の神経を取り除く必要があります。また痛みなどの症状が無くても、虫歯を除去し、神経が出てしまった場合(大きさによる)、その状態によっては神経を残せない場合もあります。そして神経を取った後、根管内を消毒し、材料を詰め、菌が繁殖しない様にします。これを抜髄根管治療といいます。
- 抜髄根管治療
-
- 感染根管治療
(神経が無い歯に対して行う根管治療) - 以前、抜髄根管治療を受けている歯、もしくは何らかの原因で神経が死んでしまった歯の根管に対して行う治療です。根管内に汚染物質が存在し、それを徹底的に除去、洗浄、消毒をし、最終的に根管内を緊密に材料で詰める治療です。
- 感染根管治療
根管治療が必要となるケース
- 虫歯が進行し、痛みが強い場合
- 物を噛むと痛む
- 無症状だが、レントゲンで根の先が黒く、影が見える
- 歯茎に白いできものが有る(膿の出口)
- 歯茎が腫れて痛む
根管治療の成功率
抜髄根管治療と感染根管治療とでは大きく異なります。また、根の先の骨の中が化膿している根尖性歯周炎が存在するかしないかによっても、成功率は大きく異なります。
世界の医学的研究データによると…
- 根尖病巣(根尖性歯周炎)無し:60~90%
- 根尖病巣(根尖性歯周炎)有り:40~70%
また、根尖病巣の大きさと成功率の関係は
| 5mm以下 | 5mmよりも 大きい |
|
|---|---|---|
| 感染根管治療 | 87% | 87% |
| 再感染根管治療 | 65% | 38% |
となっております。様々な研究データを見てみると、研究者により成功率には、かなり大きなばらつきが有る様に思いました。しかしながら、再治療の場合はかなり成功率が落ちている事は共通しております。根の先の骨が化膿していたり、根管治療の再治療の場合は成功率が低い状態にあるという事です。よって、抜髄根管治療をする際、いかに確実な治療を行うかが非常に重要になってきます。
根管治療の費用、回数
-
- 保険の根管治療と自費の根管治療
- 保険適応の根管治療は使用する材料や器具などに制限があり治療に限界がでてきてしまう可能性があります。自費の根管治療はマイクロスコープ(手術用顕微鏡)やニッケルチタンファイル、ラバーダムなどの機器や器具、材料などが使用できより精密で予後が期待できる治療が可能になります。
-
- マイクロエンド
(顕微鏡下での根管治療) -
マイクロスコープ(手術用顕微鏡)を使用し、精密に行う根管治療。歯の状況にもよりますが、完全に自費診療となります。回数も歯の状態次第ですが2~5回程度かと思います。当院では、世界最高峰のペンシルバニア大学の臨床コンセプトとテクニックに基づいた方法で行っております。
こちらに関しては、マイクロエンドの項目で詳しく御紹介致します。
- マイクロエンド
根管治療の目的

根管治療の目的は、根管内を徹底的に殺菌消毒し、再度菌の繁殖を避けるために根管内を密閉させます。
これらの作業を確実に行わないと、歯根が弱くなり破折を招いたり、再度感染を起こし抜歯の原因にもなります。
当院の根管治療の特徴
ここではアートデンタルクリニック鷺沼の根管治療の特徴をご紹介します。
ニッケルチタンファイルによりスピーディーな根管治療により来院回数を大幅に減らせる
(回数は歯の状況で変わります)
- 抜髄根管 1回~
- 感染根管 2回~

必要に応じてラバーダムの使用
ラバーダムとは根管治療の際に歯に装着するゴムのことです。ゴムを拡げて口を覆い隠し、治療する歯だけをゴムの外側に出して治療ができるため、治療中に根管内に細菌感染を防ぐことができます。

より精密に行う精密根管治療
(マイクロエンド)
- ラバーダム
- 手術用拡大鏡
- 根管内PDT療法
- ニッケルチタンファイル
などを使用し徹底的に治療する方法です。

当院の根管充填の特徴
根管治療の失敗の原因は、世界的なデータによると約60%が不完全な根管充填によるものとの事です。よって当院では北米歯内療法専門医の多くが行っているContinuous Wave Condensation Technique(CWCT法)という技法を用いております。この方法により、根管充填を三次元的にかつ緊密に行い、菌の繁殖を確実に防ぐ事を可能にします。
CWCT法による根管治療
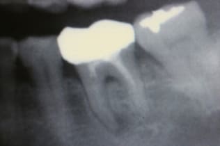
根管治療は無菌の根管を作り、緊密な根管充填が絶対条件です。歯の寿命がこれで決まると言っても過言ではありません。下の写真は根管充填不良により引き起こされた、根尖性歯周炎の状態です。左が根管治療前、右が根管充填後のレントゲン写真。
-

術前
-

CWCT法による根管治療の術後
根管治療をしないと抜歯になるかも!?
この病巣を根管治療しないで放っておくと、最悪のケースとしては抜歯も余儀なくされます。根管治療は皆様の歯を残すうえでは非常に重要な治療となってきます。
根管治療の基本的な流れ
-
Step 1
被せ物、Core材(土台)等を外し、根管内の汚染した古い詰め物を除去。
-
Step 2
根管内に存在する、汚染物質を徹底的に除去、殺菌消毒処置。
-
Step 3
根管内が清潔になったら根管内に詰め物をします。


