前歯部セラミック治療のこだわり
前歯部にセラミックの審美歯科治療を施す場合、特に重要視されることは審美性です。
前歯はより美しくより機能的で、いっさい金属を使用しないことを考慮し治療をします。
前歯は笑ったときに一番目立つ部分ですので、被せ物と周囲の歯の色調の調整、補綴物の質感、歯ぐきのラインに気を使う必要があります。
上顎 前歯部 症例
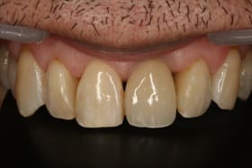
CASE01 前歯2本オールセラミックス
-
- 素材
- オールセラミックス
-
- 治療箇所
- 上顎前歯2本(左右1番)
歯ぐきの黒ずみを部分は歯ぐきを移植してカバーしています。そして歯並びも整えています。
CASE02 前歯部6本オールセラミックス
-
- 素材
- オールセラミックス
-
- 治療箇所
- 上顎前歯6本(左右1~3番)
CASE03 前歯部オールセラミックス+ダイレクトボンディング
-
- 素材
- オールセラミックス+ダイレクトボンディング
-
- 治療箇所
- 上顎前歯左1番オールセラミックス・右上1番・左上2番ダイレクトボンディング
CASE04 前歯部オールセラミックス+ダイレクトボンディング
-
- 素材
- オールセラミックス+ダイレクトボンディング
-
- 治療箇所
- 上顎前歯左上1番オールセラミックス・左上1番以外の前歯5本ダイレクトボンディング
CASE05 前歯部オールセラミックス+ダイレクトボンディング
-
- 素材
- オールセラミックス+ダイレクトボンディング
-
- 治療箇所
- 上顎前歯2本オールセラミックス・左右2番ダイレクトボンディング










